Artroza je degenerativna bolest zglobova kod koje hrskavica zgloba postupno propada.

Bol u koljenu pri ustajanju, ukočenost kukova ujutro, škripanje u zglobovima ili osjećaj da vam je kretanje "ograničeno" simptomi su koje mnogi ljudi prihvaćaju kao normalan dio starenja. Međutim, u velikom broju slučajeva uzročnik ovih tegoba je osteoartritis (ili artroza kako se to nekada govorilo kako bi se istakla degenerativna a na primarno upalna priroda bolesti), kronična bolest zglobova koja danas pogađa milijune ljudi diljem svijeta.
Dobra je vijest da osteoartritis nije stanje bez rješenja. Moderna ortopedija i fizikalna medicina nude brojne metode koje smanjuju bol, poboljšavaju pokretljivost i usporavaju napredovanje bolesti.
Artroza (osteoartritis) je degenerativna bolest zglobova kod koje hrskavica zgloba postupno propada. Hrskavica je glatko, elastično tkivo koje oblaže krajeve kostiju i omogućuje im kretanje bez trenja. Kada se stanje ili ošteti, kosti počinju trljati jedna o drugu, što dovodi do boli, ukočenosti i smanjene funkcije zglobova.
Iako se najčešće povezuje sa starijom populacijom, artroza se sve češće javlja kod mlađih osoba, posebno onih koje se bave fizički zahtjevnim poslovima, sportom ili imaju ozljede iz prošlosti.

Artroza se može pojaviti u gotovo svakom zglobu, ali najčešće zahvaća:
U Polikliniku Ivković najveći broj pacijenata dolazi upravo zbog bolova u koljenu i kuku, jer ti zglobovi podnose najveće opterećenje tijekom svakodnevnih aktivnosti.
Artroza se obično javlja kao posljedica kombinacije nekoliko čimbenika, a ne jednog uzroka. Najvažniji među njima su:
S godinama se smanjuje sposobnost regeneracije hrskavice. To ne znači da će svaka starija osoba razviti osteoartritis, ali rizik se značajno povećava.
Svaki dodatni kilogram dodatno opterećuje zglobove, posebno koljena i kukove. Istraživanja pokazuju da pretilost značajno ubrzava razvoj artroze.
Stare sportske ozljede, prijelomi, oštećenja ligamenata ili meniskusa često su "okidač" za razvoj artroze godinama kasnije.
Neke osobe imaju genetsku predispoziciju za slabiju strukturu hrskavice ili nepravilnu strukturu zglobova.
Poslovi koji uključuju dugotrajno stajanje, klečanje, nošenje tereta ili ponavljajuće pokrete mogu ubrzati degenerativne promjene.

Artroza se razvija postupno, a simptomi se često isprva ignoriraju. Najčešći znakovi su:
Ako bol traje dulje od nekoliko tjedana ili se ponavlja, važno je potražiti stručnu pomoć. Rana dijagnoza omogućuje učinkovitije i jednostavnije liječenje.
U Poliklinici Ivković, dijagnoza artroze uključuje:
Na temelju nalaza, liječnik izrađuje individualni plan terapije, prilagođen stupnju artroze i potrebama pacijenta.

Iako se oštećena hrskavica ne može u potpunosti regenerirati, moderne terapije mogu značajno smanjiti bol, poboljšati pokretljivost i usporiti napredovanje bolesti.
Za većinu pacijenata, posebno u ranim i srednjim fazama, ovo je prvi i najvažniji korak.
Cilj je ojačati mišiće koji stabiliziraju zglob, poboljšati pokretljivost i smanjiti bol. Individualno prilagođene vježbe ključ su dugoročnog uspjeha.
Analgetici i protuupalni lijekovi koriste se za kontrolu boli i upale, uvijek uz savjet liječnika.
Injekcijske terapije
Laserska terapija, magnetoterapija i druge napredne metode pomažu u smanjenju boli i ubrzavanju oporavka, posebno kod kroničnih stanja.
Često podcijenjen, ali iznimno važan dio terapije:

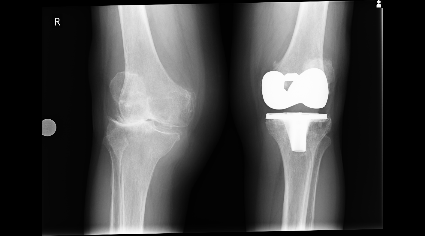
Kada konzervativne metode više ne daju rezultate i kvaliteta života je ozbiljno narušena, razmatra se operacija - od manjih korektivnih zahvata do ugradnje umjetnog zgloba.
Artroza je kronično stanje, ali uz pravovremeno liječenje moguće je godinama održavati aktivan i kvalitetan život bez jakih bolova. Odgađanje pregleda često dovodi do težih stadija bolesti i složenijih terapija.
U Poliklinici Ivković pristup svakom pacijentu je individualan - s ciljem pronalaska najboljeg mogućeg rješenja za određeni problem, uz primjenu modernih i provjerenih metoda liječenja.

Osteoartritis nije nešto što se treba "trpjeti". Bol u zglobovima je signal tijela da nešto nije u redu, a moderna medicina danas nudi brojne načine za rješavanje tog problema ili barem njegovo značajno ublažavanje.
Ako osjećate bol, ukočenost ili ograničenje pokreta, pravovremeni pregled kod ortopeda može napraviti ogromnu razliku - ne samo u liječenju, već i u kvaliteti vašeg svakodnevnog života. Zakažite pregled u Poliklinici Ivković.
.png)
Razvoj moderne medicine sve je više usmjeren na neinvazivne, precizne i tehnološki napredne terapije koje pacijentima omogućuju brži oporavak, manju bol i kraće trajanje liječenja.
.png)
Kronična i akutna bol predstavljaju jedan od najčešćih razloga dolaska pacijenata u ortopedske i specijalističke poliklinike.

Terapija matičnim stanicama iz masnog tkiva sve se češće spominje kao moderna, biološka metoda liječenja u ortopediji, sportskoj medicini i regenerativnoj medicini.